Neue Krebstherapie

Neue Krebstherapie

Neue Krebstherapie

Die zwei Phasen einer Krebserkrankung

Jede Krebserkrankung verläuft in zwei Phasen

 

1. Sympatikotone Phase

 

2. Vagotone Phase bzw. Parasympatiktone Phase

 

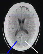
alle CT-Bilder

Unsere inneren Vorgänge werden vom vegetativen Nervensystem gesteuert. Es ist das Steuersystem des Körpers, dass für das Zusammenspiel der Funktionen in den Organen zuständig ist.

Alle Lebensvorgänge werden so geregelt.

Dieses Nervensystem kann von unserem Willen nicht beeinflusst werden, deshalb wird es auch autonomes Nervensystem genannt.

Wie eine Waage überwiegt in gesunden Zeiten einmal die eine, dann wieder die andere Seite.

Bei einer Krebserkrankung sieht das anders aus.

Aufgrund der lebensbedrohlichen Situation rastet eine Seite des vegetativen Nervensystems regelrecht ein. Dann besteht eine Daueranspannung oder eine Dauerentspannung (Dauererschöpfung).

So ein Zustand kann mehrere Monate andauern.

In der alten chinesischen Medizin kennt man diese zwei Phasen bei schweren Erkrankungen schon seit mehreren tausend Jahren. Sie werden Yin- oder Yang-Phase genannt.

Während einer Therapie von aller größter Bedeutung, dass sehr präzise erkannt wird, in welcher Phase sich die Erkrankung befindet.

 


Sympatikotone Phase – Phase der Daueranspannung:

Im Zusammenhang mit einer Krebserkrankung schaltet der Körper auf Daueranspannung um.

Alle Lebensvorgänge werden auf Abwehr der Krebserkrankung gestellt.
Der sympatische Nervenanteil überwiegt. Es treten Appetitlosigkeit, Herzklopfen, Schlafstörungen usw. auf.

Die Krebszellen entwickeln Aktivität.

Die Umstellung auf Daueranspannung ist biologisch außerordentlich sinnvoll, da durch diese Maßnahme alle Selbstheilungskräfte mobilisiert werden.

Alle für das Überleben erforderlichen Körperfunktionen werden hochgefahren.

Würde dieser natürliche Prozess durch falsche Medikamente gehemmt, hätte das katastrophale Reaktionen zur Folge, die Krebszellen vermehrten sich ungebremst.

Im ZNKT werden natürliche Medikamente eingesetzt, die genau abgestimmt auf die individuellen körperlichen Bedürfnisse des Patienten den Sympatikotonus richtig unterstützen.


Parasympatikotone Phase – Phase der Dauerentspannung:

Nach Lösung des krebsnährenden Konfliktes leitet der Körper die Heilung- und Erholungsphase ein.

Das erfolgt durch die Umschaltung des vegetativen Nervensystems auf Dauerentspannung (Dauererschöpfung).

Der Vagus-Nerv überwiegt in seiner Aktivität.

Der Patient wird eher müde, energiearm, schläft viel usw.

Die Genesung beginnt.

Doch auch dieser Zustand birgt Gefahren in sich:

Werden in dieser Zeit Therapien angewendet, die die Entspannung der inneren Organe fördern, drohen Kreislaufstörungen bis hin zu Herzinfarkt, Lungenembolie oder Schlaganfall.

Es ist medizinisch wichtig, den Vaguseinfluß zu mildern.

Im ZNKT erfolgt das, durch eine genau abgestimmt natürliche Medikation.

 


 

Die Diagnostik, in welcher Phase die Krebserkrankung sich befindet, ist außerordentlich wichtig für die Durchführung einer Behandlung.

Da die Schulmedizin dieser Tatsache nicht genug Bedeutung beimisst, treten häufig oben genannte Komplikationen auf z.B. Lungenembolie, Schlaganfall, Herzinfarkt – alles Erkrankungen, die durch ein zu starkes Erschlaffen des Gefäßsystemes bedingt sind.

Sie wären in den meisten Fällen durch richtig eingesetzte Medikamente vermeidbar gewesen.

 

weiter